檢測認證人脈交流通訊錄
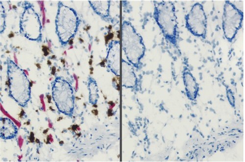
一般情況下,動物組織中含有很多內源性過氧化物酶、假過氧化物酶和堿性磷酸酶,如果使用含有堿性磷酸酶和過氧化物酶檢測系統和底物進行顯色,則會產生很多的背景染色。 Vector公司推出的BLOXALL?內源性過氧化物酶和堿性磷酸酶封閉液是雙酶阻斷試劑,其可廣泛應用于石蠟組織切片染色、冰凍組織切片染色和細胞染色實驗中,可在10min孵育步驟中去除由于內源性過氧化物酶、假過氧化物酶和堿性磷酸酶造成的高背景染色。該試劑使用方便,可作為即用型試劑使用。
產品特點
A 抑制內源性過氧化物酶、假過氧化物酶和堿性磷酸酶的活性;
B 儲存在滴瓶中,為即用型試劑;
C 操作簡單,快速;
D 用途范圍廣,可用于福爾馬林固定、石蠟包埋的組織切片,冷凍組織切片和細胞;
E 比傳統的封閉方法更有效。


